Casos Clínicos Implantes
Dientes en Porcelana
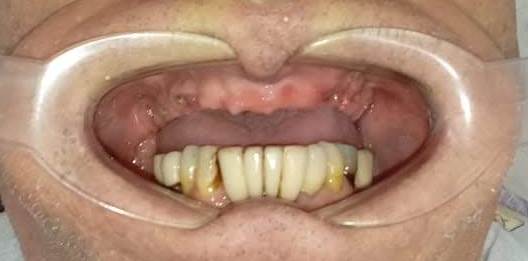
ANTES
DESPUES
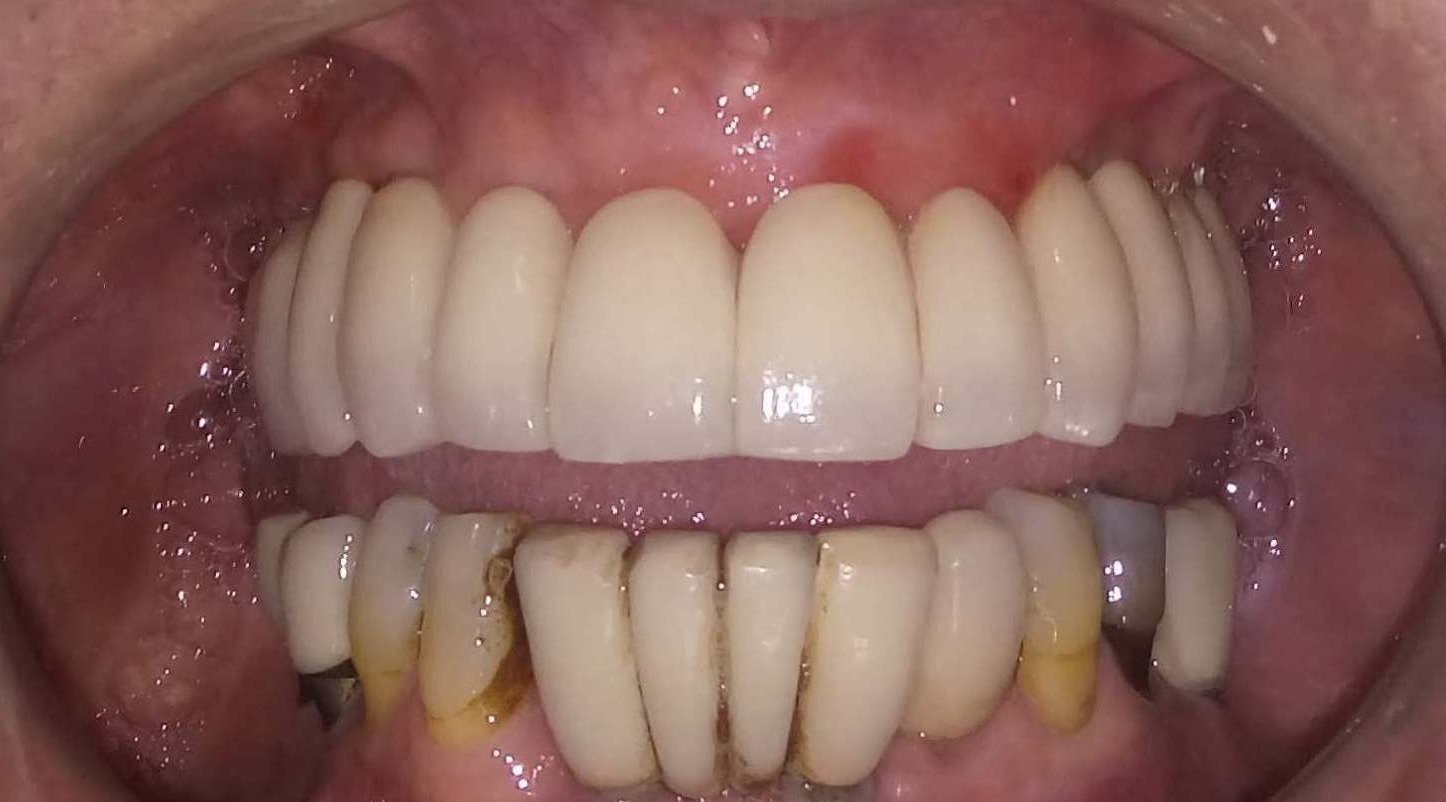
ANTES
DESPUES
ANTES. 4 IMPLANTES
DESPUES. 12 CORONAS DE PORCELANA.
ANTES . SE PLANIFICA 6 IMPLANTES.
DESPUÉS.REHABILITACION CON 12 CORONAS DE PORCELANA.

ANTES. INSTALACIÓN DE 6 IMPLANTES

DESPUES.CORONAS DE PORCELANA.


Av. España 1358 - Punta Arenas - Chile
Horarios de Atención: Lunes a Viernes de 09:00 a 13:30 Martes y Jueves de 15:00 a 19:30